Dr. Kneib Patients

Everyone who goes to the dentist hopes to leave with a bright, beautiful smile. We strive to provide that satisfaction for every patient we see, and the proof is in the pictures below.

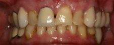
Dental Implants

Before

Before Dental Implants

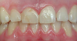
After

After Dental Implants

Before Dental Implants

After Dental Implants

Before Dental Implants

After Dental Implants

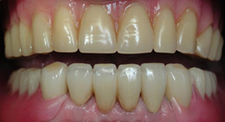
Dental Crowns

Before

Before Dental Crowns

After

After Dental Crowns

Before Dental Crowns

After Dental Crowns

Before Dental Crowns

After Dental Crowns

Before Dental Crowns

After Dental Crowns

Before Dental Crowns

After Dental Crowns

Before Dental Crowns

After Dental Crowns

Before Dental Crowns

After Dental Crowns

Before Dental Crowns

After Dental Crowns

Before Dental Crowns

After Dental Crowns

Before Dental Crowns

After Dental Crowns

Before Dental Crowns

After Dental Crowns

Before Dental Crowns

After Dental Crowns

One-Visit-Crown (CAD/CAM)

Before

Before One-Visit-Crown

After

After One-Visit-Crown

Before One-Visit-Crown

After One-Visit-Crown

Before One-Visit-Crown

After One-Visit-Crown

Bonding & Bridges

Before Bonding

Before Dental Bonding

After Bonding

After Dental Bonding

Before Dental Bonding

After Dental Bonding

Before Dental Bridges

Before Dental Bridge

After Dental Bridges

After Dental Bridge

Other Tooth Restorations

Before Dentures

Before Complete Upper Denture

After Dentures

After Complete Upper Denture




Before Gap Restoration

Before Gap Restoration

After Gap Restoration

After Gap Restoration

Before Composite Restoration

Before Composite Restoration

After Composite Restoration

After Composite Restoration

Cosmetic

Before Tissue Recontouring

Before Tissue Recontouring

After Tissue Recontouring

After Tissue Recontouring

Before Veneers

Before Veneers

After Veneers

After Veneers

Before Zoom Whitening

Before Zoom Whitening

After Zoom Whitening

After Zoom Whitening

Before Zoom Whitening

After Zoom Whitening

Before Snap-On Smile

Before Snap-On Smile

After Snap-On Smile

After Snap-On Smile

Make an Appointment
Make an Appointment
Make your appointment with Kneib Dentistry today! Please fill out the appropriate form below so we can get in contact with you to schedule your appointment.