Since my first contact with the office to set up an appointment, everyone has been incredibly friendly and knowledgeable. I have never felt like I was taking up too much of their time. The dentist is very thorough and explains everything. The hygienist did a great job on my teeth and the staff is helpful with everything from billing questions to trying to make appointments convenient for me. I'm so glad I found Kneib Dentistry!
"I would have never let anyone else tend to my son to be honest, I have been with Kneib Dentistry for years. Dr.Kneib took my call Saturday late evening and met me in his office Sunday at 10am...with the newly graduated Dr.Kneib assisting. Thank you to both of you so much, I will never forget the kindness you gave to my son."
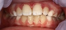
Story:
On June 12, 2011, Dr. Jared Kneib assisted Dr. Robert Kneib in restoring a young patient's two front teeth. After Reza, the young boy, had experienced an unfortunate accident at a local playground, his mother went seeking professional aid from Kneib Dentistry. On the Sunday after the accident, the two dentists collectively tended to the emergency. As you can see, Reza is now happy and smiling with his teeth looking as if the unfortunate event never occurred!

I certainly didn't have bad teeth to begin with; I'm simply a perfectionist. I researched numerous dentists in the area before I settled with Dr. Kneib. He was remarkably knowledgeable and told me the truth. In his opinion, the only way I was going to get the 'bang' effect that I was looking for was to go with porcelain crowns. He was absolutely right. His eye for perfection is incredible, and I get countless compliments on my smile. Dr. Kneib was the absolute right choice for me
In July of 2011, a man was in town from Minnesota, when part of his crown, unfortunately, broke during his stay in Erie. He was enjoying a visit with his family, here in Erie, when this happened. Looking to aid his emergency, a family member of Vinnie's strongly recommended Kneib Dentistry to provide him with quality dental care. The Kneib dentists used their technologically advanced Cerec CAD/CAM to design and mill an all-ceramic e-Max crown to replace his pre-existing broken crown. As you can see in the photo, they created a beautiful natural-looking tooth.

Before CAD/CAM Crowns

After CAD/CAM Crowns
Everyone there is beyond friendly. There is nice and there is these guys. They genuinely act like you're a friend visiting when you come in. And they all have a great sense of humor too. It's nice to laugh at the dentist. Which to me is a terrifying experience so laughing is totally new for me. I can't say enough good things about them. When holidays come and the office is closed they even give their personal numbers in case of an emergency. They really go above and beyond to take care of their patients. Even if i moved and had to drive an hour or more, I'm never switching dentist.
What a fantastic place of business! First off you walk into the most soothing waiting room I've seen in my life! Then you are treated by the most nicest receptionists!! Then the dental staff themselves are gentle, calming, thorough. They take their time to make sure all questions are answered, any fears addressed. The office has all the latest technologies. They do all work here in office. I like that I won't be referred out elsewhere. Then last but definitely not least, Dr Knieb comes in to meet you. He is very nice, funny, personable. He has this aura of patience, knowledge and confidence that just puts you at ease! I'm so glad I found this new dentist!
I have been going to Kneib Dentistry for almost 20 years. From the very beginning I was, and continue to be, impressed with the friendliness of the staff, the relaxed atmosphere, and most of all, the outstanding care exhibited by the technicians and Dr. Kneib. They truly treat you like family. In keeping with their mission to provide the best possible dental care, Kneib Dentistry continually upgrades and invests in the latest technology. They also keep me informed and educated with their newsletter providing tips and information about good dental health. I know I am in good hands when I visit Kneib Dentistry.
My teeth were in bad shape hygienically due to years of neglect. I was decidedly nervous about my first visit. The staff at Dr. Kneib's was very very friendly and their cordial demeanor put me my initial apprehension to rest. Dr. Robert Kneib was also very informative, funny, and calming when he spoke to me about my situation and their plan for helping me improve my oral hygiene. I, never in a MILLION years, thought I would look forward to seeing my dentist again. However, there's just something about the whole experience at this practice that sets them as paramount among dentistry experiences in my life.
From the first appointment/introduction, I felt I was in very good hands. The building is kept very well. The waiting room is cozy, like a residence. The rooms I've been in so far are all very well kept and clean. Staff is friendly and is clearly trained to treat patients with much care. Dr Kneib is patient and thoughtful, taking time to answer questions thoroughly, which I appreciate. If a decision needs to be made, he discusses all options but leaves decisions squarely up to me. I've had no clerical/billing/insurance issues. Overall, I'm especially thankful I discovered this practice and would recommend it to anyone looking for a new dentist.
My son was in a horrible sledding accident when he was younger which knocked out some of his teeth. When he had his adult teeth come in they were crooked & one tooth was directly behind the other. I know this effected my sons confidence & he would rarely smile. I was a newer patient of Dr. Robert Kneib & I knew after the 1st visit I wanted no one but Dr. Kneib to help my son. Because of Dr. Kneib my son has an amazing smile & this year he got Prom King! You have a WONDERFUL staff & made us feel so comfortable in a place where it is easy to feel otherwise. True professionals that clearly love their work & their patients. I am so grateful!
The staff at Kneib Dentistry went to exponential lengths to ease my anxiety during my dental implant surgery. The procedure was explained to me as it was performed. The staff went above and beyond to make sure I was comfortable. I honestly wouldn't have been able to do it without their extra help and gracious accommodations!
It was pure pleasure to visit Kneib Dentistry for my 6 month cleaning. As always, the entire staff was welcoming. I had apprehensions about this particular visit, because of some medical issues, but the ever-centered and calm Dara applied extra care to disarm my anxieties. This is the best dental office on the planet.
I walked into Kneib Dentistry for an appointment yesterday and was nicely greeted by two pretty, smiling faces (Barb and Valerie) at the front desk. Before I could sit down in the waiting room I was escorted back to one of the cozy exam rooms and comfortably laid back in a "recliner" by lovely Melia, who would be assisting Dr. (Rob) Kneib with some (past due...my fault) dental work. I had been in twice before to have my teeth cleaned...once by Dara (Mrs. Rob Kneib)...now office manager (someone has to manage all these Kneibs...why not mom) and once by Kathy (who informed me that our mothers play bridge together). Both cleanings were pleasant, very thorough, educational, and, as I have a bit of an odd sense of humor...enjoyably fun.
When Dr. Kneib came in, we first chatted about art (I'm an artist) and hiking and nature (we're both outdoorsmen) and of course my teeth. While I comfortably reclined (and watched the TV that is mounted at the perfect angle on the ceiling) Dr. Kneib got to work. He and Melea are quite a team...very professional and also very fun. I never thought I could laugh with gloved fingers and drills in my wide open mouth.
I wanted to meet Dr. Jared Kneib too (since he just joined the practice this year and someday, I assume, Dr. Rob will pass the dental torch to him for good). Dr. Jared walked in (another smiling face) and as we all talked during "a little break" Dr. Rob was called to meet a new "walk-in" patient. While he was out for a few minutes, Dr. Jared took over, and if my eyes had been closed, I wouldn't have known they had done a "switcheroo". When Dr. Rob came back in, Dr. Jared went to work with the new patient ...all just like clockwork.
While Dr. Rob finished up (over a few more laughs) I thought about how much and I might add..."high-tech" dental work that had just been so professionally done. When he handed me a mirror to show me what all had gone in my mouth in the past couple of hours...I was amazed. I walked out (again past smiling faces) with a brand new, perfectly fitting crown (no, not that kind...although they all made me feel like a king), a new "unnoticeable" filling and two great cosmetic "fixes"...all completely painless...and I'm not just saying that.
A young girl came into the office after an accident at school. Unfortunately, she tripped and snapped her two front teeth off. Following standard protocol, the school nurse put the snapped pieces into a bottle of milk, which helps to preserve the teeth for bonding back in place. As you can see, the teeth cleanly snapped off, which makes it easier to work with and less noticeable after bonding. Dr. Kneib uses dental bonding to sculpt individual teeth with a special tooth-like material that looks, acts, and feels like the real thing. In this case, he took the tooth fragments and bonded them back in place. After treating the tooth surface, Dr. Kneib applies a putty-like bonding material that is then sculpted and shaped to suit your needs. A high-intensity light causes the plastic to harden, and then the new surface is smoothed and polished. Root canals were also done on the teeth after the bonding. After this procedure, the young girl even felt good enough to go to her gymnastics lessons that evening! Mission Complete!!!

Before Dental Bonding

After Dental Bonding
This patient's family came to our office seeking to create a smile for their mother. With the professional design and soft tissue recontouring with the DEKA Laser, Kneib Dentistry created a smile for a grandmother's wish. And think, these are just the temporaries! This process took place within just a few hours at the office! Now, she can greet her children and grandchildren with a smile that will last a lifetime!
Before
After
When I first called Kneib Dentistry to schedule a first time appointment for a cleaning, Warren was so helpful and scheduled me right away! They did a wonderful job! Bree the Hygienist is just wonderful...so sweet! Today Doctor Jared restored a crooked tooth ( top left ) that had been filled with metal years ago from a Dentist in another state, and now the tooth is not only filled with porcelain ( tooth colored filling ) BUT it is straight now!! I drove all the way from Pittsburgh to stay with Kneib Dentistry! I am so nervous when it comes to needles, but Doctor Jared had very gentle eyes...so when I continued to look up at him nervously to see what he was doing next....I felt safe and very relaxed! Doctor Kneib is wonderful as well! Thanks again Kneib Dentistry!! I will be returning next week again for more fillings! Also, Judy and the other receptionist are very nice!! Judy has always been the person I've spoken to the most on the phone. She is so polite and very sincere!
I would like to let you know about our great experience with Bri yesterday. My son is only 2 1/2 years old. (It) was his first cleaning and she did a great job with him. It was an amazing experience and she handled it beautifully. Your service has always been great, but I was very impressed with her yesterday and she deserves a special recognition! Keep up the good job! We will see her in six months and I will spread the word about how wonderful Kneib Dentistry is!
I have a completely irrational fear of the dentist. Cold sweats. Goosebumps. My stomach moves right up into my neck, and just sits there the whole time, like it found a new home.
I have a cavity that I could no longer ignore, so I took the bull by the horns. My wife and children had been seeing Dr. Robert Kneib for some time, so I made an appointment to go.
First stop, dental hygiene. If you have never had your teeth cleaned by Dara Kneib, you haven't lived. The soft music, the gentle voice, the articulate way she scolds explaining how you need to "step up your flossing efforts." When she was finished, I couldn't wait to get home to try my new toothbrush.
Then the dreaded dentist showed up. I had drawn the dentist's kid. "Just my luck," I thought. "He's going to use me for a practice dummy." I couldn't have been more wrong. Dr. Jared Kneib was professional, thorough, knowledgeable, and competent. He explained what would need to be done, and had the office manager (his brother, Warren) work up a complete set of options, based on my insurance.
Whether you are a dental coward or looking forward to a terrific experience, you need to get right in to see the Drs. Kneib, and their tremendous staff. Call as soon as you have finished flossing. You will really enjoy the visit. Really!
As a new patient here, I was blown away. Not only does everyone on staff have literally the most beautiful teeth I have ever seen, but they all made me feel so comfortable that I... enjoyed... my dentist appointment? A definite first for me, and I will never go to another dentist again. If you're browsing for a new one yourself, this is an easy YES - schedule it now before your remember how much you hate flossing!! Ultimately, EVERYONE was extremely well-informed, friendly, and attentive. They have some pretty sweet high-tech dentist stuff (they showed me a 3D mold of my teeth AND reviewed actual photos of my teeth so that I could SEE what they see and understand what was happening in my mouth). I like them so much I want them to be my best friends and I hope you meet them and love them too okay that's it that's the end of my review thank you for reading.
My 6 week old daughter had a lip tie and I was referred to Kneib Dentistry. I called the same day and they were able to get us in right away to correct it. The staff and Dr. Kneib were extremely friendly, knowledgeable, and professional. I would recommend them!
I hadn't been to a dentist in several years due to a horrible experience at a local "assembly line" type dental place. Pain and a missing filling finally forced me to do a search for a dentist. Through my new insurance I found Kneib Dentistry, and while browsing their website I decided this was the place I'd try. Each visit, with every employee who met with me, I was treated with kindness and respect, and all of my fears were addressed without ridicule. I needed 2 root canals in one visit, and couldn't have asked for a better experience. Not to mention the outstanding work done, and virtually no pain after. I highly recommend Kneib Dentistry!
I have been recommending Kneib Dentistry since my new patient consult. The office and staff are warm and inviting, not cold and clinical like you've come to expect at a dentist office. From the time you leave the waiting room you are constantly informed of what is happening procedurally and what it all means, I couldn't believe how much I learned. Technology is everywhere from the reminders you receive about your appointment to viewing photos of your mouth and x-ray results from your dental chair. I look forward to going to the dentist, thank you to the staff, job well done!
I was searching for a new dentist after some bad experiences at my old one when I stumbled across Kneib Dentistry. I was very impressed by the level of attention to my concerns and the explanations I recieved. Especially impressive was the way Dr. Kneib took photos of my teeth to better show what's going on in there. Everyone was extremely friendly and knowledgeable which is exactly what I was looking for in a dentist.
Steve has been quite a wonderful patient to have at Kneib Dentistry. He travels to our office in Erie from Oil City, PA because he knows quality dentistry when he sees it. Steve's wife was searching for that smile he used to have and undoubtedly came to us. His dental condition needed some major work and the Kneib dentists were up to the job. We removed all of the upper teeth and crowned all of the lower anterior teeth in porcelain...and Voila!!! There's that smile we wanted!

Before Dental Crowns

After Dental Crowns
Dr. Kneib saved me again. I had unbelievable tooth pain after breaking a tooth. I called the office and they fit me in for a root canal right away. I can not say enough good things about this exceptional group of professionals. Their office staff are always kind and courteous and the efficacy with which their office is run is outstanding. Drs Robert and Jared Kneib are, without a doubt, the best dentists I have ever had. Thank you again for everything!
I would recommend Kneib Dentistry to anyone who needs a dentist. At my visit a few days ago I was greeted by the friendly staff and had a very short wait time until I was called in for my appointment. My hygienist, Bri, is very thorough and makes you feel comfortable.
"I am always impressed by the care and professionalism that Dr. Kneib and his wonderful staff provide for Joel. They always make him smile! Joel also enjoyed meeting Dr. Jared Kneib."
Story:
Dr. Jared Kneib has taken on his very first pedodontics patient, here at the office! He is very glad to now be providing Joel, the patient, his most special dental care. Dr. Jared was excited to see that Joel's experience was both comforting and memorable. The doctor performed a tooth-colored filling on Joel while his mother, Karen, was standing by, watching her son. We look forward to seeing Joel in the future for his regular dental check-ups!!!

Charles, a patient at Kneib Dentistry, has recently received some restorative touch-ups on his teeth. Being self-conscious about his smile, Charles accepted a treatment of four upper anterior porcelain crowns. We treated him with a more conservative type of crown, as opposed to the higher quality, aesthetic crown. As you can see from his teeth on the left, he has previously received crowns of lesser quality, which consist of porcelain fused to metal. This is a case where the patient, at the time, was more concerned about their smile than their overall dental condition. One step at a time...

Before Dental Crowns

After Dental Crowns
| Monday | 7:30am - 5:00pm |
| Tuesday | 7:30am - 5:00pm |
| Wednesday | 7:30am - 5:00pm |
| Thursday | 8:00am - 5:00pm |
| Friday | 8:00am - 1:00pm | No Appointments |